Синдром разбитого сердца: почему эмоции меняют сердце

Синдром разбитого сердца: что это, кто в риске, как гормоны стресса влияют на сердце и как упражнения или КПТ помогают восстановлению.
Стеклянная модель сердца с тонкой трещиной, рядом стетоскоп и монитор с чистой линией ЭКГ на светлом фоне — nicetry.blog

Синдром разбитого сердца — это обратимое нарушение работы сердечной мышцы, которое может возникнуть от сильных эмоций или тяжёлого стресса. В медицине его называют кардиомиопатия такоцубо. При этом левый желудочек временно меняет форму, появляются боль или давление в груди и одышка. Большинство людей полностью восстанавливаются, но в острой фазе состояние требует внимательного наблюдения врача.


Синдром разбитого сердца: что это и откуда термин

Название «такоцубо» придумал японский врач Хикару Сато: на снимках сердце похоже на керамический горшок для ловли осьминогов — узкая верхняя часть и расширение внизу. Симптомы напоминают инфаркт, но обычно коронарные артерии не перекрыты критически. Поэтому при внезапной боли в груди алгоритм один: вызвать скорую и исключить инфаркт.

Как менялось понимание синдрома разбитого сердца

  • 2002 — в Японии впервые описана кардиомиопатия такоцубо.
  • 2006–2017 — рост выявляемости случаев в крупных регистрах.
  • 2016–2020 — в госпиталях фиксируют осложнения и смертность; у мужчин риск выше.
  • 2024–2025 — уточнены механизмы (стресс-гормоны, микрососуды, «мозг—сердце»), появляются первые данные о пользе реабилитации.
Данные: международные регистры и обзоры 2024–2025
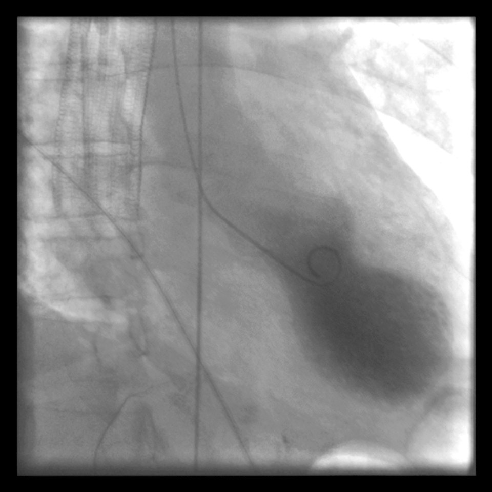
Апикальное баллонирование при синдроме разбитого сердца — вентрикулография - nicetry.blog
Апикальное баллонирование при синдроме разбитого сердца — вентрикулография. (Автор(ы): Tara C. Gangadhar и соавт., Journal of Medical Case Reports)


Синдром разбитого сердца: кому грозит и как изменились триггеры

Раньше считалось, что это в основном «эмоциональная история». Новые данные уточняют картину. По крупному международному регистру в последние годы чаще выявляют физические триггеры (тяжёлые болезни, операции), а не только переживания. Доля мужчин в регистрах растёт, а варианты формы сердца всё чаще бывают неапикальными (не только «ловушка для осьминога»). Это объясняет, почему синдром стали чаще распознавать в стационарах.

Здесь может быть ваша реклама

Удобный формат для продвижения вашего проекта.

Написать

Синдром разбитого сердца: цифры 2024–2025

Доля мужчин
10% → 15%
Становится больше выявленных случаев у мужчин
Триггеры
39% → 58%
Физические триггеры встречаются чаще эмоциональных
Варианты формы
18% → 28%
Рост доли неапикальных (среднежелудочковых) вариантов
Госпитальная смертность
6,5%
У мужчин ≈ в 2 раза выше, чем у женщин
Данные: InterTAK (JACC, 2024); JAHA (2016–2020).


Синдром разбитого сердца: как гормоны и мозг запускают процесс

Главная искра — всплеск катехоламинов (адреналин, норадреналин, дофамин). Но это не единственный механизм. Влияют микрососудистая дисфункция, воспаление, роль эстрогенов, а ещё — связь мозг—сердце (как мы переживаем стресс). В первые сутки у многих удлиняется QTc на ЭКГ — это повышает риск аритмий. Поэтому в стационаре следят за ритмом и избегают лекарств, которые удлиняют QTc.

Синдром разбитого сердца: ЭхоКГ в остром периоде и через 6 дней - nicetry.blog
Синдром разбитого сердца: ЭхоКГ в остром периоде и через 6 дней.
Слева — острый эпизод с дилатацией ЛЖ, справа — частичное восстановление через 6 дней.
(Автор(ы): Tara C. Gangadhar и соавт., Journal of Medical Case Reports)

Мифы и факты о синдроме разбитого сердца

Миф: это всегда инфаркт.
Факт: симптомы похожи, но коронарные артерии часто без критического перекрытия — механизм другой.
Миф: возникает только от горя.
Факт: триггером может стать и сильная радость, и тяжёлая болезнь/операция.
Миф: если стало легче, можно игнорировать.
Факт: в острой фазе возможны аритмии — наблюдение обязательно.


Синдром разбитого сердца: что делать и как восстановиться

Если внезапно появились боль или давление в груди, одышка, страх — действует правило «лучше перебдеть»: звоните в скорую, не садитесь за руль, дождитесь медиков. После исключения инфаркта врач определит тактику наблюдения.

Хорошая новость: в 2025 году появились первые данные рандомизированного исследования реабилитации. 12 недель умеренных аэробных тренировок или индивидуальной КПТ улучшали переносимость нагрузок и сопровождались благоприятными изменениями по визуализации и биомаркерам стресса. Пока это не официальные рекомендации для всех, но тренд многообещающий — обсудите с кардиологом безопасный план активности и поддержки.


Заключение

Синдром разбитого сердца — редкое и чаще обратимое состояние, которое бывает и от горя, и от сильной радости, и на фоне тяжёлых заболеваний. Главное — вовремя распознать острый эпизод, исключить инфаркт и пройти наблюдение. Для восстановления набирают доказательную базу упражнения и психологическая поддержка.

Читайте также:
Зимняя безопасность на льду при рыбалке: толщина, «спасалки», правила МЧС
Города без людей: год за годом — от первых часов до столетий
Мосгорсуд смягчил приговор Елене Блиновской: что изменилось

Полезно? Поделись!

Добавить комментарий

Ваш адрес email не будет опубликован. Обязательные поля помечены *

А это читали?

Эммануэль Макрон за рабочим столом — усталое выражение лица — бумаги на столе - флаги ЕС и Франции на фоне — nicetry.blog

Politico: Макрон стал осторожнее и теряет влияние в ЕС

Politico: Макрон стал осторожнее. Политики считают, что внутренние кризисы и смена премьеров ослабили влияние Парижа в ЕС.
Российский лыжник с опущенной головой стоит на фоне олимпийских колец — рядом спортсменка празднует победу — зимняя трасса и спортивный инвентарь — nicetry.blog

Недопуск российских лыжников на Олимпиаду: что решили и как отреагировала Европа

FIS не допустила россиян и белорусов к отбору на Олимпиаду-2026. Что решили и как ответили Норвегия, Швеция и Финляндия.
Реалистичная сцена из тренировочного центра киберспорта: команда специалистов обсуждает рост доходов — nicetry.blog

Российский рынок: зарплаты в гейминге 2025 выросли на 53%

Зарплаты в гейминге 2025 выросли на 53% до ₽103 582. Кто зарабатывает больше, где платят выше и как бренды влияют на рынок.
Президент Финляндии назвал условие, при котором с России снимут санкции - nicetry.blog

Когда возможно снятие санкций против России: позиция Финляндии и реакция ЕС

Снятие санкций против России возможно при прекращении огня и выводе войск, заявил президент Финляндии; ЕС обсуждает 19-й пакет и позиции стран.
Эксперты fashion-индустрии обсуждают развитие отечественных брендов в современном шоуруме — nicetry.blog

Экспертный разбор: как развивать отечественные fashion-бренды

Отечественные fashion-бренды: стратегия роста между экспортом и внутренним рынком, барьеры логистики и финансирования, ключевые цифры и мнения экспертов.
Контейнерный порт и грузовое судно с полупрозрачным символом Bitcoin — внешняя торговля и криптовалюта в России - nicetry.blog

Расчёты в криптовалюте во внешней торговле: позиция Минфина

Россия разрешит расчёты в криптовалюте во внешней торговле под контролем ЦБ.